切换到宽版
 找回密码
 立即注册

QQ登录

只需一步,快速开始

西秦会馆

爆料、咨询:18909006163
广告、合作:13990030637
查看: 9419 | 回复: 41

[盐都杂谈] 国庆长假小心!已有人中招

  [复制链接]

1314

主题

1351

帖子

0

听众

Rank: 10Rank: 10

积分
9185
威望
1314 点
铜板
5196 枚
西秦金币
0 个
鲜花
1 朵

在线时间
307 小时
注册时间
2020-9-17
发表于 2023-10-3 09:45:17 | 显示全部楼层 |阅读模式 | 来自四川
“双节小长假”

正式从中秋步入国庆

这几天,大家有没有

做一枚快乐的“吃货”呢?
19.jpg
但请注意

千万不要过分“胡吃海喝”

有人的眼睛里“长出了花瓣”!

近10天以来
武汉市民刘先生
发现自己的视力下降得厉害
到医院检查,发现眼底黄斑区
出现“花瓣”状囊样水肿

医生表示
这可能与他胡吃海喝导致血压升高有关
若治疗不及时将会损伤视力
严重者可能失明
17.jpg
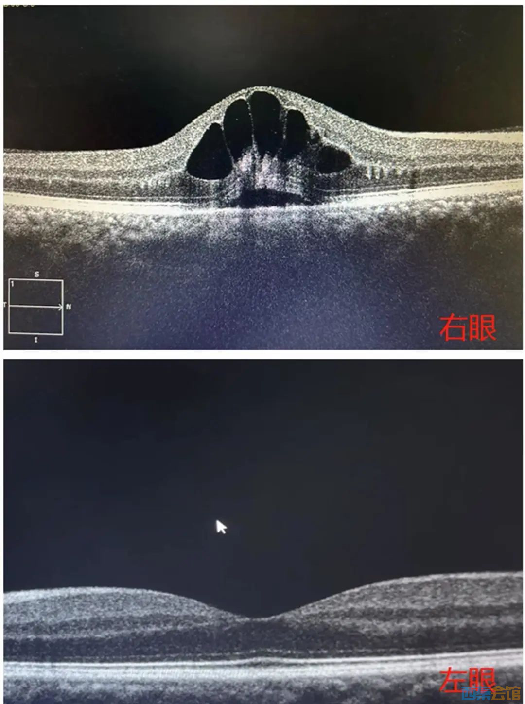
检查可见,眼底黄斑区出现“花瓣”状囊样水肿


家住汉阳的刘先生今年50岁,因临近中秋国庆,外地的亲戚约着一起错峰回武汉探亲,刘先生连续一周和亲朋好友一起“打卡”武汉各大餐厅,每顿都是大鱼大肉,外加一杯杯白酒下肚,晚上宵夜也没停过。


上周开始,他发现自己右眼看东西有些模糊,想着最近忙于吃喝玩乐没有休息好,以为是视疲劳,并没有放在心上。9月28日,症状加重,刘先生才赶紧前往眼科医院就诊。经查,其右眼视力仅为0.3。进一步检查发现,刘先生眼底黄斑区出血及渗透,出现花瓣状囊样水肿,被诊断为“右眼视网膜静脉阻塞”。


医生介绍,视网膜静脉阻塞的病因比较复杂,与高血压、动脉硬化、血液高黏度和血流动力异常等有密切关系。刘先生本身就患有高血压,平时没有控制,短期内大量进食高糖、高盐、高脂以及大量饮酒导致血压升高可能是他静脉阻塞的原因。

每次假期、春节期间
会是眼底疾病的就诊高峰
主要是因为长假期间睡眠
饮食不规律,胡吃海喝
加上饮酒过量、情绪激动等引起
16.jpg
专家提醒
有高血压、糖尿病等慢病基础的人
需定期前往医院进行眼健康检查
此外,饮食上减少高糖、
高盐、高脂食品的摄入
避免饮酒,减少熬夜
当眼部出现不适时
应及时前往医院就诊

广告

6

主题

3万

帖子

3

听众

Rank: 11Rank: 11Rank: 11

积分
78370
威望
6 点
铜板
40654 枚
西秦金币
0 个
鲜花
0 朵

在线时间
1355 小时
注册时间
2020-7-12
发表于 2023-10-3 10:33:06 来自手机 | 显示全部楼层 | 来自四川
有哈
回复

使用道具 举报

20

主题

3万

帖子

19

听众

Rank: 11Rank: 11Rank: 11

积分
71945
威望
20 点
铜板
39617 枚
西秦金币
0 个
鲜花
21 朵

在线时间
14041 小时
注册时间
2015-3-11
发表于 2023-10-3 11:04:57 来自手机 | 显示全部楼层 | 来自四川
回复

使用道具 举报

30

主题

2万

帖子

15

听众

Rank: 11Rank: 11Rank: 11

积分
55003
威望
30 点
铜板
30566 枚
西秦金币
0 个
鲜花
1 朵

在线时间
7225 小时
注册时间
2016-10-14
发表于 2023-10-3 12:03:44 来自手机 | 显示全部楼层 | 来自四川
及时就医
回复

使用道具 举报

0

主题

2万

帖子

1

听众

Rank: 11Rank: 11Rank: 11

积分
54841
威望
0 点
铜板
28179 枚
西秦金币
0 个
鲜花
25 朵

在线时间
792 小时
注册时间
2017-7-18
发表于 2023-10-3 12:32:56 来自手机 | 显示全部楼层 | 来自四川
小心点
回复

使用道具 举报

1

主题

3万

帖子

5

听众

Rank: 12Rank: 12

积分
82238
威望
1 点
铜板
43145 枚
西秦金币
0 个
鲜花
0 朵

在线时间
2822 小时
注册时间
2020-2-11
发表于 2023-10-3 12:34:43 来自手机 | 显示全部楼层 | 来自四川
好的
回复

使用道具 举报

16

主题

8963

帖子

18

听众

Rank: 10Rank: 10

积分
23892
威望
12 点
铜板
14185 枚
西秦金币
0 个
鲜花
72 朵

在线时间
10422 小时
注册时间
2012-1-13
发表于 2023-10-3 12:58:34 来自手机 | 显示全部楼层 | 来自四川
中年大肚油腻男的最爱
回复

使用道具 举报

89

主题

5万

帖子

9

听众

Rank: 12Rank: 12

积分
106521
威望
89 点
铜板
55075 枚
西秦金币
0 个
鲜花
25 朵

在线时间
4597 小时
注册时间
2010-12-21
发表于 2023-10-3 13:00:18 来自手机 | 显示全部楼层 | 来自四川
路过
回复

使用道具 举报

0

主题

2万

帖子

6

听众

Rank: 11Rank: 11Rank: 11

积分
51095
威望
0 点
铜板
26897 枚
西秦金币
0 个
鲜花
0 朵

在线时间
2376 小时
注册时间
2016-4-11
发表于 2023-10-3 13:22:59 来自手机 | 显示全部楼层 | 来自四川
小心点
回复

使用道具 举报

0

主题

3万

帖子

5

听众

Rank: 11Rank: 11Rank: 11

积分
65980
威望
0 点
铜板
35123 枚
西秦金币
0 个
鲜花
0 朵

在线时间
4686 小时
注册时间
2019-9-7
发表于 2023-10-3 14:06:40 来自手机 | 显示全部楼层 | 来自四川
小心点
回复

使用道具 举报

1

主题

4万

帖子

3

听众

Rank: 12Rank: 12

积分
93477
威望
1 点
铜板
48562 枚
西秦金币
0 个
鲜花
0 朵

在线时间
2573 小时
注册时间
2020-10-25
发表于 2023-10-3 14:12:16 来自手机 | 显示全部楼层 | 来自四川
好吓人
回复

使用道具 举报

0

主题

3万

帖子

1

听众

Rank: 11Rank: 11Rank: 11

积分
73991
威望
0 点
铜板
38097 枚
西秦金币
0 个
鲜花
0 朵

在线时间
1099 小时
注册时间
2021-10-21
发表于 2023-10-3 14:31:07 来自手机 | 显示全部楼层 | 来自四川
路过
回复

使用道具 举报

4

主题

1万

帖子

3

听众

Rank: 11Rank: 11Rank: 11

积分
32395
威望
4 点
铜板
16842 枚
西秦金币
0 个
鲜花
0 朵

在线时间
1068 小时
注册时间
2020-8-2
发表于 2023-10-3 15:43:24 来自手机 | 显示全部楼层 | 来自四川
回复

使用道具 举报

3

主题

2万

帖子

14

听众

Rank: 11Rank: 11Rank: 11

积分
56022
威望
3 点
铜板
30876 枚
西秦金币
0 个
鲜花
25 朵

在线时间
4799 小时
注册时间
2016-10-25
发表于 2023-10-3 16:51:01 来自手机 | 显示全部楼层 | 来自四川
注意安全
回复

使用道具 举报

3

主题

2万

帖子

14

听众

Rank: 11Rank: 11Rank: 11

积分
56022
威望
3 点
铜板
30876 枚
西秦金币
0 个
鲜花
25 朵

在线时间
4799 小时
注册时间
2016-10-25
发表于 2023-10-3 16:51:15 来自手机 | 显示全部楼层 | 来自四川
好的要的知道了
回复

使用道具 举报

    您需要登录后才可以回帖 登录 | 立即注册

    本版积分规则

    快速回复 返回顶部 返回列表