切换到宽版
 找回密码
 立即注册

QQ登录

只需一步,快速开始

西秦会馆

爆料、咨询:18909006163
广告、合作:13990030637
查看: 45469 | 回复: 352

[盐都杂谈] 81岁老人误吞假牙金属钩险丢性命

    [复制链接]

583

主题

613

帖子

9

听众

Rank: 10Rank: 10

积分
4306
威望
583 点
铜板
2517 枚
西秦金币
0 个
鲜花
1 朵

在线时间
255 小时
注册时间
2016-8-13
发表于 2023-11-17 18:15:04 | 显示全部楼层 |阅读模式 | 来自四川

近日,81岁的熊奶奶早起服药时,不慎误吞了假牙的金属钩。刚吞下的时候,熊奶奶只是觉得咽喉处哽噎难受,说话费劲。在亲朋好友的“支招”下,她忍着剧痛或是吞饭,或是喝醋,试图将金属钩彻底吞下去。这样的做法,让熊奶奶的症状不仅毫无改善,反而越发难受,喉咙疼痛得连水都难以下咽,甚至呼吸都会疼痛。家人将熊奶奶送到了当地卫生院,又辗转到县医院,最终又转送到自贡市第一人民医院耳鼻咽喉头颈外科。

图片13.png

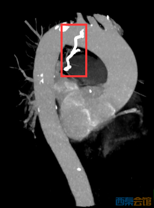
急诊CT显示,异物为假牙的金属钩,已穿透食管壁嵌顿在胸腔内,而且与主动脉弓(人体最大的血管)相隔仅6个毫米,稍有偏差,就有可能被划破引起大出血。情况紧急,且凶险。最好的办法是通过食管镜把异物取出,但风险也高。在做好充分的评估准备保全的预案并与家属充分沟通后,主治医师王茜在全麻下为熊奶奶进行了异物取出手术。

图片14.png

手术中,王茜结合CT判断出金属钩的大致形状,利用食管的走行,通过食管镜在狭小的空间内,慢慢调整金属钩的位置和角度……最终,金属钩被纵行还纳入食管,在有效的保护下,缓慢将它移出食管腔,最大程度地避免了二次损伤。当异物顺利取出的那一刻,王茜和手术室的所有人都如释重负。

王茜提醒到,误吞异物并不分年龄的高低,老人、小孩儿、成年人都大意不得,危险往往发生在一瞬间。要避免吞食异物,应做到进食时勿匆忙、少说话;不要将带骨、刺的菜混饭吃,需仔细咀嚼吐出出骨刺。家长应该教导儿童不能口含物品玩耍,尤其是细小的物品。老年人的牙齿如有松动,需及早处理;安装有义齿(假牙)的老年人,应避免食用粘性较强的食物,或定期检查假牙。如果不慎误咽了异物,应立即就医及时取出异物。切忌简单采用“生吞硬下”的方式,例如吞咽饭团、馒头、喝醋等试图强行将异物吞下。这样做,极易将食管壁的损伤,甚至造成食管穿孔或伤及颈部、胸腔的大血管和心脏,增加致命性大出血的风险。

供稿:王长黎

广告

30

主题

4万

帖子

8

听众

Rank: 12Rank: 12

积分
85544
威望
30 点
铜板
44796 枚
西秦金币
0 个
鲜花
40 朵

在线时间
9674 小时
注册时间
2019-7-16
发表于 2023-11-17 18:17:13 来自手机 | 显示全部楼层 | 来自四川
凶险
回复

使用道具 举报

190

主题

2万

帖子

10

听众

Rank: 11Rank: 11Rank: 11

积分
55666
威望
158 点
铜板
29643 枚
西秦金币
0 个
鲜花
0 朵

在线时间
3647 小时
注册时间
2004-4-29
发表于 2023-11-17 18:28:56 来自手机 | 显示全部楼层 | 来自四川
回复

使用道具 举报

97

主题

4万

帖子

13

听众

Rank: 12Rank: 12

积分
93451
威望
43 点
铜板
50231 枚
西秦金币
0 个
鲜花
12 朵

在线时间
11288 小时
注册时间
2009-1-16
发表于 2023-11-17 18:32:29 来自手机 | 显示全部楼层 | 来自四川
回复

使用道具 举报

82

主题

3万

帖子

14

听众

Rank: 11Rank: 11Rank: 11

积分
74263
威望
58 点
铜板
39178 枚
西秦金币
0 个
鲜花
25 朵

在线时间
3800 小时
注册时间
2008-4-16
发表于 2023-11-17 18:58:38 来自手机 | 显示全部楼层 | 来自四川
晓得了
回复

使用道具 举报

132

主题

2万

帖子

9

听众

Rank: 10Rank: 10

积分
63749
威望
19 点
铜板
34048 枚
西秦金币
0 个
鲜花
1 朵

在线时间
7291 小时
注册时间
2004-4-29
发表于 2023-11-17 19:16:09 来自手机 | 显示全部楼层 | 来自四川
哪天囫囵吞了一个骨头。。。
回复

使用道具 举报

2

主题

2万

帖子

13

听众

Rank: 11Rank: 11Rank: 11

积分
63116
威望
2 点
铜板
34105 枚
西秦金币
0 个
鲜花
0 朵

在线时间
9380 小时
注册时间
2015-8-31
发表于 2023-11-17 19:16:37 来自手机 | 显示全部楼层 | 来自四川
小心
回复

使用道具 举报

12

主题

2万

帖子

4

听众

Rank: 11Rank: 11Rank: 11

积分
61938
威望
12 点
铜板
32933 枚
西秦金币
0 个
鲜花
2 朵

在线时间
4415 小时
注册时间
2020-5-25
发表于 2023-11-17 19:16:46 来自手机 | 显示全部楼层 | 来自四川
吓死个人
回复

使用道具 举报

48

主题

8万

帖子

20

听众

Rank: 12Rank: 12

积分
182159
威望
31 点
铜板
93011 枚
西秦金币
0 个
鲜花
673 朵

在线时间
15592 小时
注册时间
2010-12-6
发表于 2023-11-17 19:17:16 来自手机 | 显示全部楼层 | 来自四川
晓得了
回复

使用道具 举报

2

主题

2万

帖子

0

听众

Rank: 11Rank: 11Rank: 11

积分
45001
威望
2 点
铜板
23507 枚
西秦金币
0 个
鲜花
0 朵

在线时间
1185 小时
注册时间
2022-3-13
发表于 2023-11-17 19:44:46 来自手机 | 显示全部楼层 | 来自四川
回复

使用道具 举报

0

主题

3万

帖子

3

听众

Rank: 11Rank: 11Rank: 11

积分
75918
威望
0 点
铜板
39458 枚
西秦金币
0 个
鲜花
45 朵

在线时间
2068 小时
注册时间
2020-12-20
发表于 2023-11-17 19:57:29 来自手机 | 显示全部楼层 | 来自四川
事事都要小心
回复

使用道具 举报

0

主题

3万

帖子

4

听众

Rank: 11Rank: 11Rank: 11

积分
65701
威望
0 点
铜板
34445 枚
西秦金币
0 个
鲜花
50 朵

在线时间
2224 小时
注册时间
2020-10-31
发表于 2023-11-17 20:00:12 来自手机 | 显示全部楼层 | 来自四川
路过的时候
回复

使用道具 举报

465

主题

1万

帖子

15

听众

Rank: 11Rank: 11Rank: 11

积分
44241
威望
71 点
铜板
23933 枚
西秦金币
0 个
鲜花
63 朵

在线时间
8645 小时
注册时间
2010-4-4
发表于 2023-11-17 20:06:22 来自手机 | 显示全部楼层 | 来自四川
回复

使用道具 举报

15

主题

1万

帖子

4

听众

Rank: 11Rank: 11Rank: 11

积分
38594
威望
15 点
铜板
20732 枚
西秦金币
0 个
鲜花
0 朵

在线时间
1394 小时
注册时间
2019-10-17
发表于 2023-11-17 20:06:41 来自手机 | 显示全部楼层 | 来自四川
回复

使用道具 举报

0

主题

1万

帖子

3

听众

Rank: 10Rank: 10

积分
26158
威望
0 点
铜板
14661 枚
西秦金币
0 个
鲜花
0 朵

在线时间
2034 小时
注册时间
2021-6-30
发表于 2023-11-17 20:19:20 来自手机 | 显示全部楼层 | 来自四川
太可怕了
回复

使用道具 举报

    您需要登录后才可以回帖 登录 | 立即注册

    本版积分规则

    快速回复 返回顶部 返回列表