不知道大伙们还记得,那名用 50 张 1080 TI 显卡对抗癌症的“ 业余 ”程序员不。
他曾自掏腰包训练了个 AI ,还整了个免费的网站,让人工智帮你“ 看片子 ”,能快速诊断出乳腺癌。

当时差评君就在畅想,未来,AI 技术在医学领域,铁定能溅起不小的水花儿。
但谁也没想到,这未来来得实在有些快,而且比起水花,AI 掀起的更像是大浪。
这不在前不久,医学顶刊 Nature Medicine 上就登了一篇论文,说是用 AI 大模型 + 简单的平扫 CT ,就可能大规模地筛查出早期胰腺癌了。
这消息,直接就在医学圈儿炸开了。
Nature Medicine 就罕见地附带了一篇评论文章,标题是这样的:在AI 加持下的医疗影像,即将迎来黄金时代。

各大媒体也都争相报道, “ 突破难题 ”“ 人类首次 ” 等赞美之词毫不吝啬。
而如果用一句话,来形容这技术的含金量的话。
差评君觉得比较贴切的是:放在过去,这事儿想都不敢想。

这么说吧,这次的大反派 “ 胰腺癌 ” ,在所有癌症里有个可怕的名字—— “ 癌症之王 ” 。
只要确诊胰腺癌,几乎就是被判了死刑,近 90% 的人在确诊胰腺癌后,活不过 5 年,这在癌症里算是一个相当可怕的数字了。
好多名人像吴尊友、帕瓦罗蒂等都是因为胰腺癌去世的。
死亡率这么高的原因,在于胰腺癌早期太难被发现了,一旦发现,大概率就是晚期。
因为胰腺这玩意儿,位置非常隐蔽,藏在胃后面,被十二指肠、脾脏和肝脏等器官包围住了。

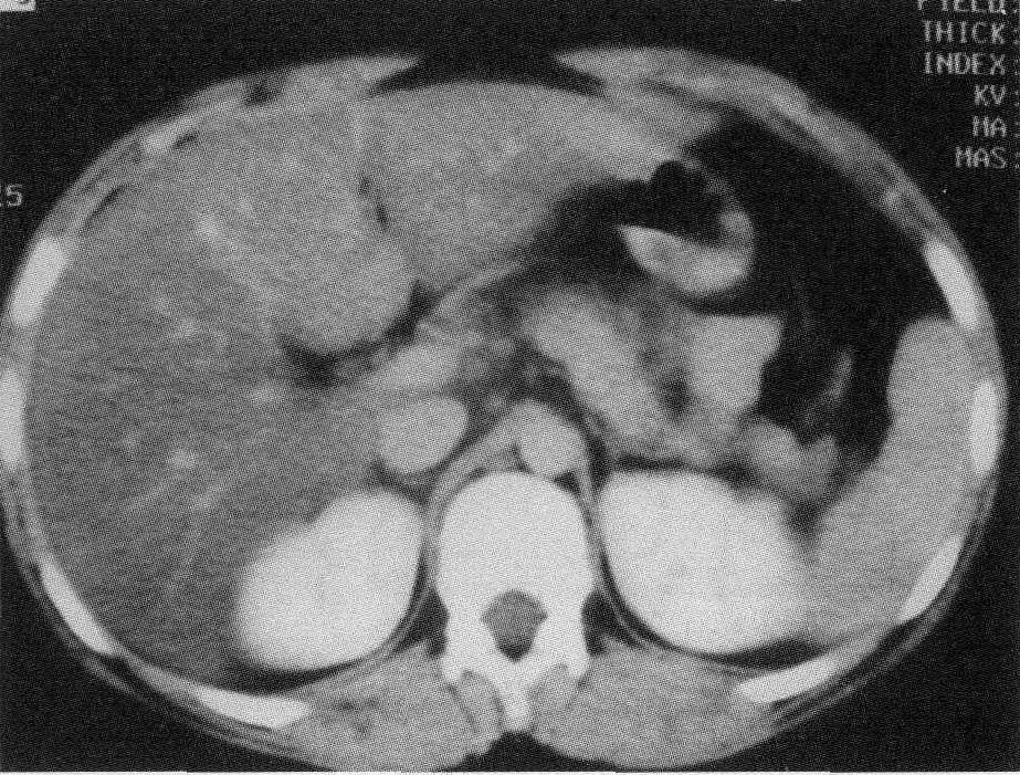
而我们一般去医院体检的项目,像超声、平扫 CT 等等这些,很难发现早期胰腺癌的特征。
当然,增强 CT 或者是增强核磁共振,能把胰腺看得更清楚些。
但胰腺癌的发病率其实并不高,在所有癌种中只排在十名开外。
所以考虑到辐射、医疗资源挤兑等问题。。。为了胰腺,每个人每年都去做增强 CT 或增强核磁共振,其实划不来。

基本上只有病人发现了异样,才会去做这些项目。
但在症状上想发现早期胰腺癌,也很难行得通。
前期患者们的症状一般是恶心、呕吐、身体虚弱等,这和普通生病的症状没啥两样,医生们很容易就会被 “ 忽悠 ” 。
并且癌变会影响胰腺功能,早期胰腺癌还很可能伪装成糖尿病。。。
于是在影像 + 症状双重 Debuff 的情况下,想大规模筛查早期的胰腺癌就变成了一件难上加难的事。

所以这些年来,医学界为了能早点发现胰腺癌,可脱了不少发、秃了不少聪明脑瓜,但最后的成果呢,寥寥无几。
前些年,业内还有个很火的滴血验癌( ctDNA ),一度被大家看好,它是从患者的血液里找有没有癌症的碎片。
但这个方法,同样也很难发现癌症一期、二期的血液碎片,到现在快十年过去了,依旧没啥进展。

而这次,研究人员们想到了用 AI 大模型,来解这道题。
差评君也去到 Nature Medicine 官网上,翻了翻论文原文,有一说一,它还真有可能在早筛胰腺癌这块豁出个口子。

这次,他们整出了个名叫PANDA ( pancreatic cancer detection , with artificial intelligence )的 AI 大模型,根据简单的平扫 CT 图像,它就能做出胰腺癌相关的诊断。
这么说吧,在临床验证中,研究团队试验了两万多个病例, PANDA 几乎就没咋漏诊,99.9% 有胰腺癌的都给诊断出来了。
偶尔有一些误诊,也都是很容易排除的病变,像什么脂肪浸润、胃肠内容物等,医生简单审核下就能排除掉。
而用 AI 这点子,最早是上海市胰腺疾病研究所的曹凯医生( 也是这篇论文的共同第一作者 )想到的。
在他身上还有这么一小段故事,在大学期间,曹凯的实习导师也因胰腺癌去世,和很多患者一样,他在确诊的时候就已经是晚期了。

不过后来他在整理导师的病例资料时发现,在确诊十个月前,导师就曾做过一次平扫 CT 。
虽然当时没发现什么苗头,但带着结论回过头来分析,就能隐约看到到胰腺那里有病变的迹象。
在这样一个契机下,曹凯就想,既然人眼很难识别到平扫 CT 图像里,早期胰腺癌病变的迹象,那不如借助 AI 帮医生先筛查一遍。
后来,他遇到了达摩院医疗 AI 团队负责人吕乐,他们两个在这块不谋而合,这才有了现在的 PANDA 模型。
PANDA 帮忙筛查胰腺癌的过程说起来也很简单,和医生看片子也没啥两样。
不过它凭借强大的算法,注意到的细节比医生肉眼看到的多得多,自然也能顺利找到疑似病变的地方。
但要练好这么一个 AI ,可不是动动嘴皮那么容易的事。

它不像语言模型出错了打个哈哈就能过去, PANDA 对准确性的要求非常高。
而判断它看病好不好,还有两个维度,一个是特异性,一个是敏感性。
要是特异性高了,就很容易漏诊,敏感性高了,又会误诊。
而调这个漏诊、误诊的 “ 天平 ” ,归根结底,还得看喂给模型的数据集和训练模型的方法。
先是数据集,都说宠物毛发顺不顺还得看主人喂什么,在训练模型上也是同样的道理。
这块研究团队是下了血本,他们召集了来自各个医院的48 个医生,一共收集了3000 个病人的腹部 CT 图像。

其中有大概 2200 多个胰腺癌患者,和将近 1000 个非胰腺癌的病人。
这 3000 个病人的数据,都是医生们自己一个个手动标注的。
并且因为平扫 CT 图的对比度太低,手动标注不太现实,所以他们都是在患者的增强 CT 图上标注。
标注的过程也是相当专业,医生们要勾画每一层 CT 图上肿瘤的二维图像,每张有十多二十层,非专业人士是一点都干不了。
画出来的十多张二维图像,叠加起来差不多就是整个肿瘤的三维图。

要喂的数据准备好了,接下来就是选择模型 + 训练。
研究团队先是搞了个配准算法,把之前标注的增强 CT 数据迁移到平扫 CT 图上,让AI 学会看平扫的 CT 影像。
后面,就是重头戏了,虽说在医学领域 3000 个数据已经算是相当多了,但对于深度学习来说这些量就是中规中矩。
所以他们只好在模型算法上更下功夫,好找补回来一些。
据达摩院团队的张灵介绍,在选择模型的时候,他们团队先先后后试了好多种技术路线,最后搞出了一个 “ 混合版 ” 的模型,集分割、检测和分类功能于一身。

而且这三个功能还不是各干各的,而是层层递进、环环相扣。
就拿正常的一套完整的检测流程举例。
PANDA 在拿到平扫 CT 图之后,先会用分割功能在整张图像中找到胰腺的位置。
找到胰腺后,再启动检测功能,去看胰腺里有没有啥不对劲的地方。
要是找到有异常的地方,就用第三步的分类功能,去识别这情况属于哪种胰腺病变。

靠着这套模型和算法, PANDA 也开始在临床试验中,不断迭代和更新。
这个过程就是个典型的 “ 出错—反馈—纠错 ” 的循环了,前前后后研究团队大概花费了有一年的时间。
算法修正倒不是什么大问题,比较麻烦的是前期的反馈:要怎么修改这个 AI 。。。
就拿期间的一个例子来说, PANDA 有时会把脂肪浸润的情况检测出来。
光是这个情况,研究团队就和医生们讨论了三个月,要不要让它这么 “ 敏感 ” ,纠结了几次最后才毙掉了。

当然,虽说 PANDA 的准确性已经相当高了,但在实际的检测过程中,它只能起到一个初筛的作用。
它把医生们看不到的病变找出来后,还是得让医生们再次把关,确保没有误诊啥的。
去年 PANDA 模型已经成功上线,一些医院以及体检中心已经在用这个 AI 帮忙筛查了。
根据张灵的说法,到现在为止,他们已经用 PANDA 模型帮忙筛查了超过了50 万个人。
并且这里面,还成功发现并救治了两个临床漏诊的胰腺癌患者。

其中有一个人,每年都会去医院的体检中心定期体检,当时他在体检时并没发现什么异常。
结果七个月后,在 PANDA 进行临床试验的时候,他的 CT 图被检测出了有 95% 的概率是胰腺神经内分泌肿瘤。
后来,医院直接找来他,用增强磁共振检查了一通,发现 PANDA 还真没判断失误。
幸好肿瘤还在早期,早早手术割掉了,后续检查时也没再复发。

现在,研究团队也还没停下来,他们还想着进一步拓宽 PANDA 的筛查范围。
张灵透露道,眼下在考虑的,是要不要把囊肿加到 PANDA 的检测范围内。
在未来,他们还打算把更多的癌症、甚至慢性病都纳入进来,让大家只要在体检的时候做一次平扫 CT ,医生通过 AI 辅助,就能看出这些疾病的苗头。

或许有一天,在这个 AI 的协助下,所有的癌症,都能通过一次简单的平扫 CT 在早期被发现。。。
最后,我觉得穆克吉写的《 重病之王 · 癌症传 》中的一段话,还挺应景的:
为了追上这种疾病的步伐( 癌症 ),人类一而再、再而三地创造、学习新知识,扬弃旧策略。我们执着地与癌症进行抗争,时而精明,时而绝望,时而夸张,时而猛烈,时而疯狂,时而凛然。这场战争,人类已经持续了数千年。
而差评君也希望,在这次 AI 开辟的 “ 新战场 ” 上,人类可以彻底降伏癌症这头猛兽。