
文/ 文天林 北京东直门医院骨科六区主任 凤凰网《CC情报局》特约专家
核心提要:
1. 滑雪其实是一项高风险运动,有专家推测,国内每年因滑雪致伤人数在10万或更高,滑雪场地的配套医院患者络绎不绝。不止是滑雪爱好者,几乎所有滑雪运动员都曾在滑雪中受过伤,比如谷爱凌就受过五次较为严重的摔伤。
2. 滑雪中常见的损伤类型包括扭伤、切伤、骨折、头部外伤、脊柱损伤等,甚至冻伤也时有发生。近年来,下肢损伤的情况并不多见,但膝关节扭伤、上肢损伤和头部损伤的发生率越来越高。膝关节损伤的主要原因是摔倒时导致的关节旋转和外翻;上肢损伤则与跌倒时滑雪杖产生的偏移压力有关;头部损伤的致死率极高,对于滑雪者来说,佩戴滑雪头盔是最好的选择。
3. 一般而言,在滑雪前进行相应训练可以减少受伤概率,但滑雪者也要避免挑战不必要的危险行为。一旦发生骨折,不得随意移动伤者身体和受伤部位,尽量交予专业人士处理。伤者应在就近医院进行紧急处理,待评估风险后才能返回。另外,根据不同的受伤部位,采取的应急措施也有所不同。因此,最好不要独自一人去滑雪,避免不必要的二次伤害。

滑雪骨折后不处理就乘飞机,可能发生没有特效治疗的永久性神经损伤!
“滑雪进骨科”的季节又到了!
这两天一则#女子滑雪骨折飞机上遇骨科专家治疗#的新闻上了热搜。
12月31日,在喀什飞往广州的航班上,参加完学术活动正在返程的南方医科大学南方医院创伤骨科主任余斌,得知坐在他身旁的女孩滑雪时不慎摔伤,手臂及全身多处不同程度的骨折,但因为要赶飞机,没来得及作诊疗处理。
余斌利用飞机上有限的急救物品,对女孩实施了局部的包扎固定,对其上臂至肩部进行了制动,使女孩的疼痛得到改善缓解,也避免其在数小时的航程中因活动不当出现二次损伤加重病情。并在第一时间给这个“不幸又幸运”的姑娘,联系医院安排床位。

滑雪骨折后,独自乘机又偶遇骨科专家,这个电视也不敢这么写的故事,只能说是个“奇遇”。现实中如果你出现滑雪骨折,并不一定能遇到骨科专家,但却可能遭遇不可预料的危险。
视频中患者应该是上肢骨折或者锁骨骨折。这种情况下,行走过程中若出现下意识的动作或者人员意外碰撞,轻则导致骨折移位,治疗难度成倍增加,重则导致神经血管损伤。
锁骨紧邻锁骨下动脉和臂丛神经,骨折断端往往呈斜形,非常锋利,没有固定的情况下受到人员碰撞等情况导致骨折端滑动,进而损伤血管、神经,造成严重损伤的可能性很大。如为肱骨骨折,桡神经紧贴肱骨后方,肱骨下端骨折时易发生桡神经损伤,如果没有固定,损伤风险大大增加。需要特别提醒的是,神经损伤目前没有特效疗法,断裂后造成永久性伤害的可能性很高。

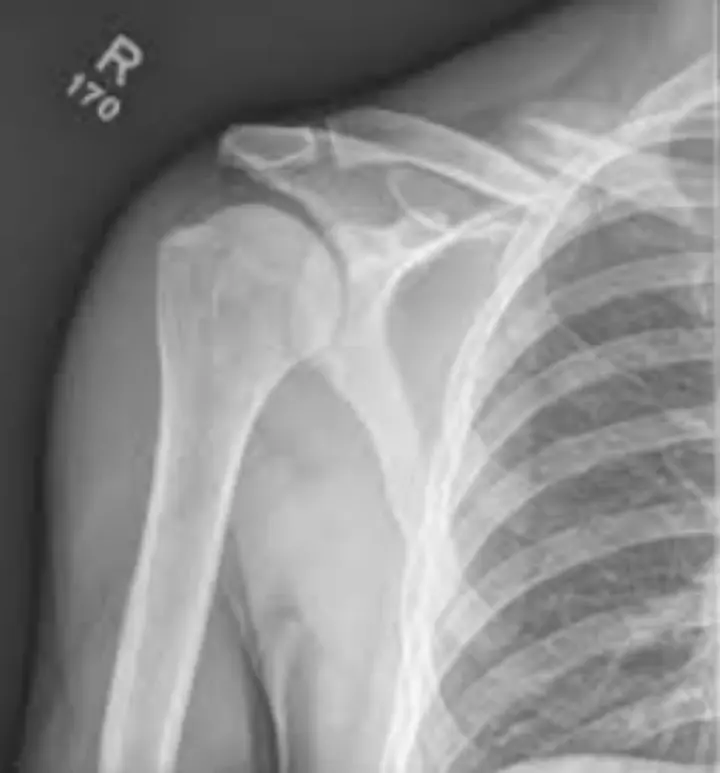
▎锁骨骨折X线
如上图所示,锁骨骨折后没有固定的情况下骨折断端相互滑动嵌插,本身就可能造成血管神经损伤,患者在行走移动的过程中容易受到碰撞,大大增加了这种风险。
正确的方法是,伤者应在当地医院进行紧急处理,评估风险后再乘机返回。
所以,滑雪导致骨折独自返乡治疗万万不可取。滑雪爱好者也切不可模仿。 因为没有骨科专家在飞机上等着坐在你身边。


一天收治十例滑雪骨折患者,崇礼滑雪场两个雪季共753人骨折,国内每年雪季有多少人骨折 ?
滑雪是一项高风险的运动,每年都有人因滑雪发生意外损伤。今年滑雪季开始后,各滑雪场“配套”的医院就随即繁忙起来。

去年11月27日,北京冬奥会举办地崇礼滑雪场的配套单位,北医三院崇礼院区的骨科医生“掰腿老黄”发布消息称:“今天一天,光骨折的就十多个,滑雪还真是高危……”
几乎每个滑雪场都造就了许多著名的创伤骨科名医。
这仅仅只是崇礼滑雪场一天的数字。

据《北京大学学报》发表的“中国崇礼某大型雪场大众滑雪者损伤情况分析”的研究文章称,他们对比了2017年11月至2018年3月雪季和2018年11月至2019年3月雪季在崇礼某大型雪场医疗站就诊的所有受伤滑雪者,结果发现,两个雪季共发生753例损伤,每1000例滑雪者平均日损伤分别为4.53例和4.46例。男性占比均高于女性。
21~30岁的受伤滑雪者占比最大 ,达到了36.8%。受伤原因以摔伤(76.6%)为主,受伤概率最高的部位是头颈部(17.9%),其次为膝关节(17.4%)和手腕手指(13.3%)。损伤类型以挫伤及外伤(29.5%)、关节和(或)韧带损伤(22.2%)最为常见。所有受伤者中,儿童(2~12岁)占比12.7%。大于50岁的受伤患者的中重度损伤(包括骨折、脑震荡等)率为34.8%。

北京冬奥会虽已落幕,但滑雪热潮没有降温,那么,因为滑雪受伤的人究竟有多少?

据了解,到2019年末,中国一共有770家滑雪场,滑雪者超过2000万人次。美国国家创伤数据中心调查数据显示,美国每年滑雪参与人数高达1700万人次,因滑雪致伤急诊就诊人数每年高达20万,住院人数7000人次/年。
42%的伤者有3个部位以上的创伤,两个部位以上创伤者占25%,单一部位的创伤占33%;而在损伤部位中,头颅受伤所占比例最高,高达27%,其余依次为胸部、脊柱、四肢和腹部。

有专家推测,国内每年因滑雪致伤人数不会低于10万,甚至更高。


滑雪大神谷爱凌居然五次骨折!滑雪易引发的几大“硬伤”,排名最高的受伤部位居然是这个……?骨科专家建议:摔倒时扔掉雪杖

▎几乎所有的滑雪运动员都曾在滑雪中受伤,骨折。谷爱凌在21年自由式滑雪和单板滑雪世锦赛前,披露自己“右手骨折和大拇指韧带撕裂”,而这已是她第五次滑雪受伤了。图为她在接受中医正骨治疗。


滑雪常见的损伤有:扭伤、切伤、骨折、摔伤、脱臼、头部外伤、脊柱损伤和内脏损伤,冻伤也时有发生。但比例比较大的是扭伤、拉伤和骨折,这3类损伤占滑雪损伤总数的70%~80%。
在滑雪损伤研究中使用的标准描述是受伤次数/滑雪者/天(滑雪天数)。这个数值有局限性,因为它没有考虑到滑雪者每天的实际滑雪量。随着该项运动的发展自20世纪70年代以来,受伤率已从每5-8‰/滑雪日下降至每2-3‰/滑雪日。同时损伤的性质也发生了变化。小腿损伤越来越少见,而膝关节扭伤和上肢损伤的发生率却越来越常见。膝关节损伤的主要部位是前交叉韧带,并且女性发病率是男性的3-6倍。

▎前交叉韧带 (ACL) 是稳定膝关节的关键韧带之一。前交叉韧带 (ACL) 连接大腿骨(股骨)和胫骨。
膝关节扭伤是高山滑雪者最常见的损伤,约占成人所有损伤的30%。内侧副韧带(MCL)和ACL损伤(指前交叉韧带的撕裂或扭伤)的发生率相似,分别为18%和16%目前还没有证据表明MCL扭伤的增加与ACL损伤发生率的增加具有相关性。
由于膝关节扭伤现在很常见,最近大多数与损伤预防相关的研究都是针对减少严重的膝关节扭伤。膝关节损伤的机制主要是患者摔倒时膝关节的旋转和外翻。在这种类型的损伤中,滑雪者在抓住他或她的滑雪板内侧边缘时向前摔倒。然后向外旋转,用力外展和向外旋转腿。当滑雪者从跳台着地并伸直膝盖时,靴诱导的前抽屉机制发生,从而导致膝关节ACL损伤。当这种情况发生时,如果一块滑雪板没有及时松开损伤风险增加2倍,如果两块滑雪板都没有松开,那么损伤风险增加会超过3倍。

▎导致膝关节损伤的机制示意图

▎前交叉韧带撕裂MRI
随着下肢损伤比例的下降,上肢损伤比例相应增加。第一掌指关节尺侧副韧带(UCL)撕裂(“滑雪者拇指”)仍然是最常见的上肢损伤,约占上肢的三分之一,占所有损伤的7% - 8%。
事实上,“滑雪者拇指”扭伤是青少年人群中最常见的滑雪损伤。大多为跌倒时伸出手,扶杆位于手掌,UCL受到径向偏移应力。如果滑雪杖不在手里,滑雪者落在一个空手掌上,那么同样的压力就不会产生,UCL撕裂的风险就大大降低了。
因此,建议滑雪者在摔倒时扔掉雪杖。当选择握把风格时,滑雪者应该选择一个低轮廓的握把,没有手腕带或其他保持装置。在使用滑雪杖的人群中,腕关节、脊柱、踝关节损伤的患者往往同时伴有拇指损伤。

高达11%的滑雪损伤与肩部有关。最常见的损伤部位包括肩袖损伤(24%)、盂肱关节前脱位和半脱位(22%)、肩锁关节分离(20%)和锁骨骨折(11%)。
肩部最常见的受伤原因有以下三种:来自伸展手臂的轴向负荷,对肩膀的直接打击,或者在滑雪者抵抗强迫外展时的偏心负荷。
肩部损伤也可由碰撞和过度的外旋力引起,而这些力是由不恰当的撑杆固定引起的。如果滑雪杖在滑雪者手腕带还牢固的情况下被夹在后面,肩部可能会受到足够的外展和外旋力,导致脱位或其他严重的上肢损伤。
减少和预防上肢损伤主要的方法是教会滑雪者如何正确使用滑雪杖。应该在必须使用其保持平衡时才使用,同时尽量选择没有腕带或者具有腕带释放装置的滑雪杖。

▎肩锁关节分离左:正常,右:分离。
脊柱损伤在滑雪者中并不常见,其发生率只有0.01‰人/滑雪日。但是脊髓损伤可能导致严重的后遗症,给患者带来终生性伤害。
有研究证实,目前双板滑雪运动中脊柱损伤的发生率约为单板滑雪运动的1/4。在单板滑雪运动中,77%的脊柱损伤和30%的头部损伤是由跳跃造成的。随着将单板滑雪动逐渐也纳入到滑雪运动中,这种差异在缩小。劝阻滑雪运动者不要跳跃貌似是不可能实现的,因此减少这些伤害的方法就只能是促进地形公园的发展和在这些动作中使用适当的技术。


舒马赫滑雪时头部撞击岩石昏迷十年!切记:戴头盔可以救命啊!学校组织的滑雪居然最易受伤!
在所有的滑雪受伤者中,近几十年来,头部损伤的发病率不断增加,占滑雪相关死亡人数的一半以上。
在双板滑雪中,每1000人中有1.27人会发生头部损伤,在美国每年12700人因滑雪导致颅脑损伤(头部损伤包括脑震荡和脑挫伤)。在单板中,虽然无明确发生率,但颅脑损伤病例由1993年1000例增长的1997的5200例,初学者发生颅脑损伤的几率更大。

这其中最著名的头部受伤者中,有一个是德国传奇赛车手舒马赫,他在2013年12月29日遭遇严重的滑雪事故,头部撞上岩石。严重受创陷入昏迷,至今已10年。而另一位是超帅的法国演员Gaspard Ulliel(加斯帕德·托马斯·尤利尔)在滑雪事故中撞上头部丧生。而舒马赫据说没有佩戴头盔。

滑雪头盔的问题仍然被广泛讨论,其有效性的证据仍然存在争议。没有证据表明传统的滑雪训练可以减少受伤的概率。但佩戴头盔,至少仍是目前最佳选择。戴头盔主要是防止更严重的头部受伤,比如颅骨骨折——这可能会是致命的,88%的滑雪死亡归因于创伤性脑损伤。有一个研究称,佩戴头盔可以避免90%以上的重伤。

再就是与滑雪受伤最密切相关的因素之一是滑雪者的经验。
几项研究表明,技术和经验最差的滑雪者最容易受伤。据推测,越有经验的滑雪者摔倒的频率越低,即使他们摔倒了,他们也会以一种更安全的方式摔倒。滑雪指导的作用还不太清楚。在对儿童滑雪损伤的研究中,提高滑雪技能具有保护作用,但不能证明正式的滑雪训练有益。这一发现与20世纪70年代由Garrick和Requa以及Shealy等人进行的早期研究一致。这两项研究都不能证明滑雪指导在减少损伤方面的益处。
所以,滑雪教练原则上对你是否受伤没有什么作用,惟一管用的是你自己的技术能力与运气。
近年来有研究人员专门针对减少前交叉韧带的撕裂或扭伤展开了研究,发现对滑雪者展开损伤机制教育、合理规避的训练可以有效减少该损伤。比如他们被要求在跌倒时保持膝盖弯曲,并避免在仍在滑动的情况下试图爬起来。
人们普遍认为,适当的训练也有利于预防损伤。 增加肌肉力量有助于在跌倒时保护关节,而灵活性和敏捷性可以降低损伤的发生率和严重程度。在股骨胫骨内旋过程中,肌肉力量的改善可能会减少ACL的应变。在老年人中,运动对维持骨密度的有益作用可能在预防骨折方面发挥作用。

▎2022年2月8日,美国滑雪运动员妮娜-奥布莱恩在超级大回转比赛中因严重摔倒事故导致左腿骨折退出冬奥会。
尽管如此,还是建议所有滑雪者进行季前训练。它应该同时运用力量和耐力,重点放在腿部和背部。 另一个有可能预防伤害的领域是改变滑雪行为。应该鼓励滑雪者在疲劳之前停止滑雪,并在可控范围内滑雪。
通常情况下,滑雪场会尝试使用标志和滑雪巡逻人员来规劝人们不要跳跃、高速和越界滑雪。但这些努力通常是无效的,尤其容易被年轻的滑雪者忽视。学校组织的滑雪往往更容易发生危险,因为孩子们在同龄人面前往往更敢于挑战不必要的危险行为。


那么,如果滑雪骨折后,正确的处理方式是什么呢?
回到开头,如果遇到像那个姑娘滑雪骨折的情况,应当如何处理?这里说几条,供大家参考。
一是滑雪摔倒后手着地,手指头向外侧偏导致手指或腕部扭伤,可以使用运动护腕等临时固定后去医院就诊。 发生关节脱位时,可使用关节支具临时固定关节,同时尽快送医,进行关节复位,不可强行暴力复位,避免造成韧带损伤甚至骨折、神经损伤的严重并发症。
再就是关节处受伤,可能局部会肿出一个大包,这时候要特别注意。不能够让关节再运动;不要对关节处进行按摩,可局部进行冷敷。
二是如发生四肢骨折,可采用木棍或者硬纸板等临时固定骨折肢体,并及时送医治疗。锁骨骨折可采用丝巾等临时制作上肢吊带,悬吊患肢。
三是发生脊柱损伤的患者搬运时应该严格按照脊柱损伤搬运策略执行,如颈部固定,轴向翻身,硬木板床搬运患者等。 切忌“一人抱头一人抱脚”这种简单粗暴的固定转运方式,会加重脊柱骨折,有可能损伤脊髓神经,甚至引起瘫痪。

四是头部受伤以后,如果有大出血的话,在现场就要给予立即止血;如果没有破没有出血,肿一个大包,提示我们撞击很严重,所以一定要到医院做CT,去筛查颅骨里边脑组织有无出血。头部损伤则一定要去专业的医院诊疗,且后期的康复训练同样重要。

五是在滑雪者受伤后,在不明情况前,不要随意搬动伤者的身体与受伤部位,避免二次伤害。 尽可能让专业人士处理。
最后切记滑雪不要一个人。因为你出事后,至少会有人帮你寻找专业人员处理。
期望“雪道尽头是骨科”变成“滑雪的尽头是快乐”。