 
- 积分
- 16558
- 威望
- 2546 点
- 铜板
- 8837 枚
- 西秦金币
- 0 个
- 鲜花
- 6 朵
- 在线时间
- 281 小时
- 注册时间
- 2022-3-18
|
|
夏日炎炎 正是需要防晒的时候 防晒喷雾 因其使用方便、携带方便等特性 成为不少爱美人士的夏日必备 然而 近日浙江一位20岁的姑娘 只因使用防晒喷雾时不小心 得了急性过敏性肺炎 紧急入院……
对着面部猛喷
20岁姑娘查出“白肺”
6月17日中午,20岁的绍兴姑娘丽丽(化名)在父母的陪伴下前来浙江大学医学院附属第一医院急诊科就诊,她胸闷气急、呼吸非常困难。
丽丽男友随身携带的就是“肇事凶手”——一瓶防晒倍数SPF50+、12小时持久防晒的防晒喷雾。
丽丽的妈妈说,女儿日常非常注重防晒,中午打算和她一道外出吃饭逛街。为此,丽丽特地用上了新买的防晒喷雾,该防晒喷雾号称针对青少年、学生。想着小孩子都能用,丽丽就更加放心,出门前对着脸和脖子大面积喷洒。
当时,丽丽一边和妈妈说话,一边喷防晒喷雾,没有屏住呼吸,结果刚喷完就咳嗽不止,而且越咳越凶。
一个小时过去,她越来越感觉不舒服、呼吸越来越困难,于是前来就医。
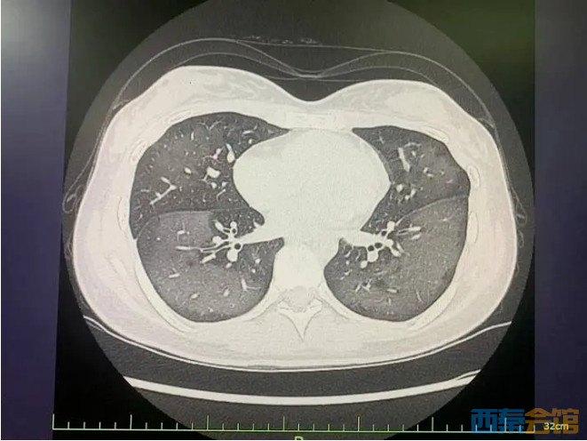
该院急诊科的主治医师童娅玲接诊了丽丽,经CT检查发现,丽丽的双肺呈现大范围白色样病变,报告提示“白肺”。
患者肺部CT
丽丽被诊断为“急性过敏性肺炎”,急诊专家对丽丽给予吸氧、激素抗炎抗过敏等对症支持处理后,急性症状得到缓解,她被收入呼吸内科病房进一步住院治疗。
急诊科主任陆远强主任医师解释,此类“白肺”与使用防晒喷雾时吸入的有害物质有关,喷雾中的某些化学成分会刺激诱发一系列过敏反应,从而导致广泛的气管、支气管乃至肺水肿,让肺部无法正常工作。
什么是“白肺”?
“白肺”一般是指重症肺炎在X线或CT检查下的表现,患者肺部呈现一大片的白色状态。“白肺”患者往往会出现呼吸困难、呼吸衰竭,严重者还会出现其它脏器功能障碍。
“白肺”常见于高龄(65岁以上)、免疫力低下、有重要器官慢性病史(如心脏病、中风史、慢性肾脏病、慢性阻塞性肺疾病等)、有多种疾病并存(比如既有高血压、糖尿病,又有心脏病、肺病、肾功能不全)等人群。
医生表示,除了感染、弥漫性肺泡出血综合征等“白肺”最常见的病因外,吸入有害物质如粉尘、喷雾等,也可导致肺部出现大范围白色样病变。如果因为使用不当,吸入了一部分防晒产品进入肺部,就可能会导致“白肺”的发生。
在一些综艺节目中
明星们手持喷雾
对着脸部直喷的场面让很多人效仿
那么
防晒喷雾真的应该“怼脸喷”吗?
防晒喷雾
应如何正确使用?
防晒喷雾产品虽然使用方便,使用时雾化效果较佳,但是因其为压力包装,大部分产品有可燃推进剂作为动力源,使用时更需要了解其正确的使用方法。
专家建议
1. 使用防晒喷雾时应避免在狭小密闭不通风空间内使用,主要喷洒在身体上,与皮肤保持10~20厘米的距离。
2.不能直接对着面部喷洒,一定要避开眼睛、口、鼻等部位,应将防晒产品先喷到手掌上,然后再在脸上涂抹均匀。
3. 首次使用前,可以把少量防晒喷雾涂抹在耳后、肘关节内侧等部位进行皮试, 确定无不适反应以后再进行使用;使用防晒产品后,若出现过敏或其它身体不适时,应立即停止使用并及时前往医院就诊。
4. 不建议儿童尤其是幼童频繁、大剂量使用防晒喷雾,用遮阳帽、防晒衫等物理防晒更为妥当。
5.要避免在伤口、红肿或湿疹等皮肤有异常的部位喷洒、涂抹。
6. 防晒喷雾中常将乙醇、丁烷、异丁烷等易燃、易挥发的液体作为推进剂,这些也是打火机燃料里的主要成分。如果操作不当或在使用时突遇明火,极有可能引火上身。存放要避免阳光直晒,使用时远离火源、热源、静电、撞击等,避免将产品或使用完的空罐刺穿或投入火中。
|
|