切换到宽版
 找回密码
 立即注册

QQ登录

只需一步,快速开始

西秦会馆

爆料、咨询:18909006163
广告、合作:13990030637
查看: 6551 | 回复: 8

[盐都杂谈] 杭州35岁女白领​被丈夫劝去医院,一查是癌!年轻人高发,女性更易中招

  [复制链接]

1129

主题

1719

帖子

0

听众

Rank: 10Rank: 10

积分
8272
威望
1129 点
铜板
4295 枚
西秦金币
0 个
鲜花
0 朵

在线时间
0 小时
注册时间
2024-9-27
发表于 2024-11-2 10:04:12 | 显示全部楼层 |阅读模式 | 来自四川
35岁小美(化名)是一位忙碌的职场女性。
一天早上,她在梳头时,偶然发现脖子上有个小小的肿块。
“这大概是因为最近压力太大,睡眠不好造成的吧!”小美心想,问题不大,也没有太在意。
几周后,小美发现肿块似乎变大了,而且偶尔会感觉到吞咽困难,这让她开始有些担心了。
随着时间推移,她的症状虽然并没有明显加重,但是心里的压力越来越大。
这时候,小美的丈夫坚持劝她去看医生。
小美到医院后,医生首先进行了触诊,摸到了她脖子上的硬块,并让她做了几次吞咽测试。
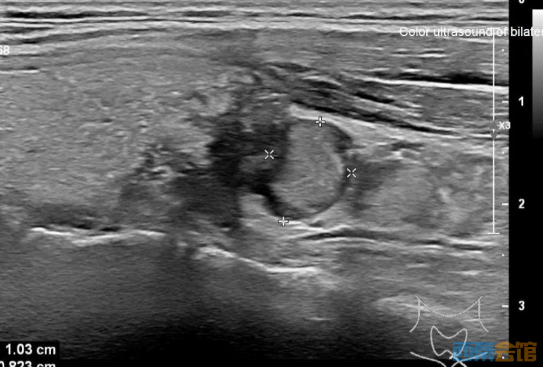
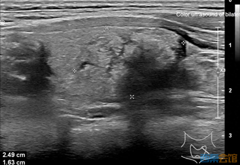
接着,医生安排她做超声波检查,结果显示她的甲状腺左叶有一个2.5公分大的结节、左侧颈部还有一个1公分大的淋巴结。
微信截图_20241102100223.png
图:甲状腺结节
微信截图_20241102100233.png
图:可疑转移淋巴结
根据结节的形态和大小,医生决定进一步进行细针穿刺活检,以排除恶性肿瘤的可能性。不幸的是,活检结果显示结节是恶性的——甲状腺乳头状癌。
对小美来说,这无疑是个巨大的打击。
“我从来没想过自己会得癌症,特别是我还这么年轻。”她回忆道。
不过,甲状腺癌相对来说是治疗效果最好的癌症之一,尤其是乳头状癌,预后相对较好。
随后,小美被安排进行腔镜下甲状腺全切除+颈淋巴结清扫手术。
手术过程顺利,医生在切除肿瘤并清扫淋巴结的同时,还保持了颈部的美观。
术后,小美进行了放射性碘治疗,以清除可能残留的癌细胞。这种治疗方式比较特殊,患者需要住在隔离病房内,避免放射性碘对周围人群的影响。
术后康复过程中,小美经历了声音嘶哑和喉咙不适的阶段,这是由于手术过程中喉返神经受到轻微影响所致。
医生告诉她,这是一种常见的术后并发症,随着时间推移声音会逐渐恢复。
随后,小美开始了促甲状腺素抑制治疗。由于她的甲状腺已被完全切除,身体无法自行产生甲状腺激素,她需要每天服用药物来维持正常的代谢功能,同时抑制肿瘤的复发和转移。这意味着小美需要长期吃药,但药很容易咽下,吃药时间也很规律,她也逐渐适应了这种生活方式。
小美在术后每隔3-6个月回医院做一次随访检查,通过超声波和血液检查来监测是否有癌细胞复发迹象。
医生说,后面随访间隔时间会逐渐延长,检查项目也会根据术后时间进行调整。她也学会了自我检查脖子,随时观察是否有异常发生。
如今,小美不仅回到工作岗位,生活也逐渐恢复正常。
甲状腺结节有哪些风险因素?
据了解,全球有30%-50%的人一生中可能会发现自己长了甲状腺结节,尤其是40岁以上的女性,得这个的几率比男性高很多。这是因为女性的荷尔蒙波动,如妊娠、绝经等因素,会影响甲状腺的健康。
为什么会长甲状腺结节呢?有几个常见的风险因素:
缺碘:碘是甲状腺激素合成的必需元素,长期碘摄入不足会促使甲状腺过度增生,容易形成结节。这在某些缺碘的内陆地区比较常见。
家族遗传:如果你的家人,特别是父母或兄弟姐妹有甲状腺结节或甲状腺癌史,你也更容易长出结节。
辐射暴露:颈部辐射暴露,尤其是儿童时期经历过头颈部放射治疗,会显著增加结节和甲状腺癌的风险。
压力:现代生活节奏快,压力大也是一个不容忽视的原因。长期的精神紧张和压力会通过影响内分泌系统,增加甲状腺结节风险。
生活习惯:不健康的生活方式,比如吸烟、酗酒,甚至长期睡眠不足,会打乱体内的激素平衡,对甲状腺造成影响。
性别和年龄:女性的发病率比男性高,且随着年龄增长,甲状腺结节的风险也会增加。
肥胖和代谢综合症:体重过重或有代谢异常问题的人,甲状腺结节的风险也会增加,这与体内的慢性炎症反应有关。
自体免疫疾病:如桥本氏甲状腺炎这类自体免疫疾病,会导致甲状腺慢性发炎,并可能形成结节。
哪些甲状腺结节要警惕?
大部分的甲状腺结节都是良性的,只有约10%的结节有可能是恶性。
风险较高的结节,通常是那些超声下形状不规则、边界不清、纵横比大于1、内部有钙化点的。
当然,如果你有甲状腺癌家族史或者曾经接受过颈部辐射治疗,发现恶性结节的可能性会更高。
那些超声报1/2/3类、小于1公分、没啥症状的结节,基本可以“忽略不计”(当然要医生说了算)。对于这类结节,只需要每6-12个月去医院做个超声检查,看看有没有“变大”或“惹事”的迹象。
年轻人患甲状腺癌增多了?
关于甲状腺癌发病率的问题,《中国癌症报告》在2023年发布的数据显示,甲状腺癌居我国新发癌症第7位,而2024年的数据中,甲状腺癌已上升到我国新发癌症第3位。
图:《中国癌症报告》2024年发布
中国新发癌症数量
同样,据《中国癌症报告》数据显示,甲状腺癌在15-44岁这个年龄段中发病率居第2位。这也就是说,近年来,青年人群的新发甲状腺癌,不是“感觉上”增加了,而是“实际上”增加了。
图:《中国癌症报告》2023年发布
不同年龄段的恶性肿瘤发病率
关于不同性别的甲状腺癌的发病率问题,《中国癌症报告》的数据中也有答案,近20年来,女性甲状腺癌发病率的增长远高于男性。
微信截图_20241102100259.png
图:《中国癌症报告》2024年发布
恶性肿瘤发病率增长趋势(2000-2018)
图A 男性 图B 女性
手术安全吗?术后怎么管理?
甲状腺手术可以是部分切除,或全甲状腺切除,具体看结节的大小和位置。
如今,还有一些微创技术,手术切口更小、恢复更快。
虽然手术技术相当成熟,但也不是“零风险”的,术后并发症还是可能会发生。
最常见的是喉返神经损伤,这会让你的声音变得有点“性感”或嘶哑,甚至可能让你一段时间内说话吃力。不过,大多数情况下,声音会随着时间慢慢恢复。另外,还有甲状旁腺功能受损、血肿、感染等风险存在。
对于甲状腺半切的甲状腺乳头状癌患者,可以考虑术后5年左右停用甲状腺激素药物;对于甲状腺全切除的患者,终生激素替代治疗是必需的。对于肿瘤侵犯周围器官或者淋巴结转移较严重的患者,术后需要加做碘131治疗。
保持良好的生活习惯,像合理饮食、避免过度辐射,这些都有助于防止病情复发。
健康人群如何预防甲状腺结节?
保持适量的碘摄入,过少或过多都会影响甲状腺功能。
保持良好的心情、健康饮食和作息,这些都能帮助你远离结节困扰。
定期体检很重要,尤其是家里有甲状腺问题的“家族史”,及时发现和正确诊治是防止病情恶化的关键。
当你发现脖子上有异常的肿块时,千万不要掉以轻心,尽快就医检查。
来源:杭州日报、浙大二院、潇湘晨报

广告

8

主题

5万

帖子

3

听众

Rank: 12Rank: 12

积分
109961
威望
8 点
铜板
56871 枚
西秦金币
0 个
鲜花
12 朵

在线时间
4034 小时
注册时间
2020-11-2
发表于 2024-11-2 10:43:22 来自手机 | 显示全部楼层 | 来自四川
恼火得很
回复

使用道具 举报

1562

主题

5万

帖子

3

听众

Rank: 12Rank: 12

积分
118457
威望
1562 点
铜板
61088 枚
西秦金币
0 个
鲜花
3 朵

在线时间
5286 小时
注册时间
2021-8-4
发表于 2024-11-2 10:50:23 来自手机 | 显示全部楼层 | 来自四川
评论成功,功德 +1
回复

使用道具 举报

191

主题

7万

帖子

14

听众

灌水队队付

Rank: 12Rank: 12

积分
150434
威望
73 点
铜板
79306 枚
西秦金币
0 个
鲜花
10 朵

在线时间
13875 小时
注册时间
2006-7-29
发表于 2024-11-2 11:31:18 来自手机 | 显示全部楼层 | 来自四川
什么情况?
回复

使用道具 举报

39

主题

2万

帖子

5

听众

Rank: 12Rank: 12

积分
80133
威望
39 点
铜板
28384 枚
西秦金币
0 个
鲜花
2938 朵

在线时间
6725 小时
注册时间
2019-8-2
发表于 2024-11-2 13:03:25 来自手机 | 显示全部楼层 | 来自四川
回复

使用道具 举报

97

主题

5万

帖子

5

听众

Rank: 10Rank: 10

积分
109845
威望
74 点
铜板
58630 枚
西秦金币
0 个
鲜花
14 朵

在线时间
8730 小时
注册时间
2006-7-11
发表于 2024-11-2 13:18:52 来自手机 | 显示全部楼层 | 来自四川
癌症年轻化
回复

使用道具 举报

    您需要登录后才可以回帖 登录 | 立即注册

    本版积分规则

    快速回复 返回顶部 返回列表