切换到宽版
 找回密码
 立即注册

QQ登录

只需一步,快速开始

西秦会馆

爆料、咨询:18909006163
广告、合作:13990030637
查看: 3932 | 回复: 14

[盐都杂谈] 广西男子在诊所看牙,2厘米长的小锉针意外掉进气管,医生:幸好是圆滑的一头朝下滑...

  [复制链接]

2072

主题

2104

帖子

1

听众

Rank: 10Rank: 10

积分
13413
威望
2072 点
铜板
7155 枚
西秦金币
0 个
鲜花
1 朵

在线时间
205 小时
注册时间
2022-2-11
发表于 2026-3-13 16:18:19 | 显示全部楼层 |阅读模式 | 来自四川
看牙医本想解决牙痛,谁料一根用于根管治疗的小小锉针,竟意外掉入气管。
3 月 6 日下午,广西北海一名 69 岁男子因牙痛前往北海某口腔诊所接受治疗。治疗时,医生不慎将一根用于疏通、清理根管治疗的机扩针(机用小锉针)掉进患者口腔里,异物经口腔误入气管,男子受到刺激当即咳嗽不止。
3.jpeg

4.jpeg
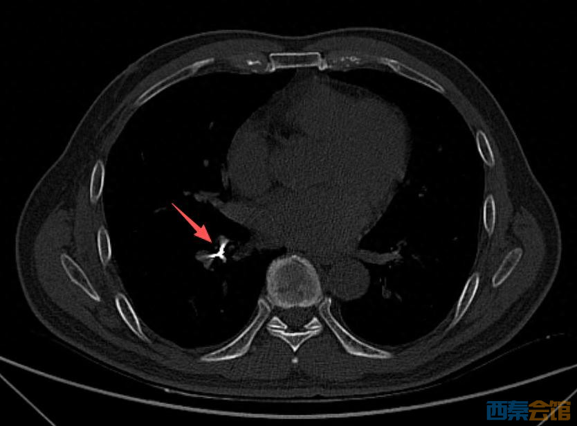
随后,诊所牙医陪同男子到北海市人民医院就诊,经 CT 检查,在患者右下肺支气管内发现有异物存留,便紧急收入呼吸与危重症医学科病房。
病房接诊后,医院立即启动急诊救治流程。医疗团队为患者取出异物,
经确认,取出的异物正是用于根管治疗的机扩针,长约 2 厘米,针的一头圆滑、一头细长而尖锐。
“幸好是圆滑的一头朝下滑进气管,一路滑到支气管没有造成意外损伤。”事后,医生表示。
术后检查确认,异物未对患者气道及肺部造成额外损伤,患者生命体征平稳。经过妥善观察治疗,患者次日康复出院。

只想摆烂~
广告

8

主题

5万

帖子

3

听众

Rank: 12Rank: 12

积分
110393
威望
8 点
铜板
57096 枚
西秦金币
0 个
鲜花
12 朵

在线时间
4034 小时
注册时间
2020-11-2
发表于 2026-3-13 17:30:31 来自手机 | 显示全部楼层 | 来自四川
危险
回复

使用道具 举报

0

主题

3万

帖子

0

听众

Rank: 11Rank: 11Rank: 11

积分
77653
威望
0 点
铜板
40097 枚
西秦金币
0 个
鲜花
0 朵

在线时间
1357 小时
注册时间
2022-10-1
发表于 2026-3-13 20:27:19 来自手机 | 显示全部楼层 | 来自四川
危险呀
回复

使用道具 举报

116

主题

5万

帖子

20

听众

幻觉来的太稀薄。。。

Rank: 12Rank: 12

积分
111934
威望
86 点
铜板
59746 枚
西秦金币
0 个
鲜花
1 朵

在线时间
10247 小时
注册时间
2010-3-22
发表于 2026-3-13 21:03:57 来自手机 | 显示全部楼层 | 来自四川
看看啥子
回复

使用道具 举报

4

主题

4万

帖子

0

听众

Rank: 12Rank: 12

积分
103990
威望
4 点
铜板
61741 枚
西秦金币
0 个
鲜花
0 朵

在线时间
8324 小时
注册时间
2022-6-29
发表于 2026-3-13 23:44:47 来自手机 | 显示全部楼层 | 来自四川
看帖
回复

使用道具 举报

2

主题

3万

帖子

15

听众

Rank: 11Rank: 11Rank: 11

积分
76591
威望
2 点
铜板
41025 枚
西秦金币
0 个
鲜花
0 朵

在线时间
3511 小时
注册时间
2017-1-24
发表于 2026-3-14 00:59:11 来自手机 | 显示全部楼层 | 来自北京
路过了
回复

使用道具 举报

75

主题

7万

帖子

22

听众

幸福的我

Rank: 12Rank: 12

积分
156082
威望
7 点
铜板
81584 枚
西秦金币
0 个
鲜花
26 朵

在线时间
7404 小时
注册时间
2008-2-22
发表于 2026-3-14 01:09:38 来自手机 | 显示全部楼层 | 来自四川
回复

使用道具 举报

0

主题

3万

帖子

15

听众

Rank: 12Rank: 12

积分
83349
威望
0 点
铜板
44185 枚
西秦金币
0 个
鲜花
0 朵

在线时间
2912 小时
注册时间
2017-3-29
发表于 2026-3-14 07:42:53 来自手机 | 显示全部楼层 | 来自四川
看看
回复

使用道具 举报

1

主题

4万

帖子

10

听众

Rank: 12Rank: 12

积分
101219
威望
1 点
铜板
53048 枚
西秦金币
0 个
鲜花
0 朵

在线时间
6400 小时
注册时间
2018-6-14
发表于 2026-3-14 08:17:41 来自手机 | 显示全部楼层 | 来自四川
知道了
回复

使用道具 举报

31

主题

5万

帖子

14

听众

Rank: 12Rank: 12

积分
108874
威望
31 点
铜板
57225 枚
西秦金币
0 个
鲜花
0 朵

在线时间
4206 小时
注册时间
2016-10-1
发表于 2026-3-14 09:18:03 来自手机 | 显示全部楼层 | 来自四川
收到
回复

使用道具 举报

0

主题

4万

帖子

0

听众

Rank: 12Rank: 12

积分
98194
威望
0 点
铜板
50589 枚
西秦金币
0 个
鲜花
0 朵

在线时间
1830 小时
注册时间
2022-4-17
发表于 2026-3-14 09:25:40 来自手机 | 显示全部楼层 | 来自四川
回复

使用道具 举报

2806

主题

8万

帖子

17

听众

Rank: 12Rank: 12

积分
184596
威望
2806 点
铜板
95688 枚
西秦金币
0 个
鲜花
56 朵

在线时间
11937 小时
注册时间
2012-5-27
发表于 2026-3-14 09:44:54 来自手机 | 显示全部楼层 | 来自四川
哦哟
回复

使用道具 举报

0

主题

4万

帖子

2

听众

Rank: 12Rank: 12

积分
86695
威望
0 点
铜板
44724 枚
西秦金币
0 个
鲜花
0 朵

在线时间
1688 小时
注册时间
2018-1-29
发表于 2026-3-14 10:22:38 来自手机 | 显示全部楼层 | 来自四川
哦哦哦哦哦哦
回复

使用道具 举报

5709

主题

8万

帖子

28

听众

没有最牛,只有更牛

Rank: 12Rank: 12

积分
203294
威望
5700 点
铜板
105346 枚
西秦金币
0 个
鲜花
85 朵

在线时间
9128 小时
注册时间
2010-6-2
发表于 2026-3-14 11:27:19 来自手机 | 显示全部楼层 | 来自广东
回复

使用道具 举报

1

主题

1万

帖子

13

听众

Rank: 10Rank: 10

积分
22662
威望
1 点
铜板
12586 枚
西秦金币
0 个
鲜花
0 朵

在线时间
918 小时
注册时间
2016-10-1
发表于 2026-3-14 11:51:23 来自手机 | 显示全部楼层 | 来自四川
路过
回复

使用道具 举报

    您需要登录后才可以回帖 登录 | 立即注册

    本版积分规则

    快速回复 返回顶部 返回列表