切换到宽版
 找回密码
 立即注册

QQ登录

只需一步,快速开始

西秦会馆

爆料、咨询:18909006163
广告、合作:13990030637
查看: 5877 | 回复: 13

[盐都杂谈] “咔嚓”一声,江苏13岁女孩练舞蹈下腰致瘫痪,只能依靠轮椅生活,医生:几乎每年...

  [复制链接]

1860

主题

1907

帖子

0

听众

Rank: 10Rank: 10

积分
11842
威望
1860 点
铜板
6215 枚
西秦金币
0 个
鲜花
0 朵

在线时间
59 小时
注册时间
2023-6-25
发表于 2 小时前 | 显示全部楼层 |阅读模式 | 来自四川
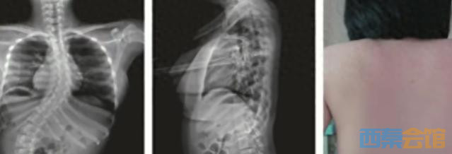
近日,江苏13岁女孩欣欣在练习舞蹈的下腰动作时,不慎受伤导致瘫痪。
南京鼓楼医院脊柱外科行政主任朱泽章介绍,事发时,欣欣在完成下腰动作的瞬间听到“咔嚓”一声,随后向父母和老师反映腰痛、腿麻。遗憾的是,这种损伤一旦发生,往往无法逆转。
74.jpeg
“瘫痪之后,孩子只能依靠轮椅生活,久而久之,脊柱也会出现弯曲。”朱泽章表示,不仅双手生活能力受限,心肺等多个脏器功能也因脊柱变形受到压迫。无奈之下,父母将她送到南京某医院脊柱外科就诊,进行微创矫形治疗。
75.jpeg

76.jpeg
医生指出,像欣欣这样,因为下腰导致瘫痪的病例几乎每年都会出现。他提醒:跳舞时一定要小心,做下腰动作一定要循序渐进,并做好热身、预备动作等。
此外,医生也提醒,孩子在练习舞蹈动作时,一定要接受正规专业的指导,一些特殊运动或者动作非必要不去尝试。

广告

0

主题

9765

帖子

14

听众

Rank: 10Rank: 10

积分
25973
威望
0 点
铜板
16208 枚
西秦金币
0 个
鲜花
0 朵

在线时间
9217 小时
注册时间
2016-8-6
发表于 1 小时前 来自手机 | 显示全部楼层 | 来自四川
可惜
回复

使用道具 举报

0

主题

3万

帖子

0

听众

Rank: 11Rank: 11Rank: 11

积分
77703
威望
0 点
铜板
40148 枚
西秦金币
0 个
鲜花
0 朵

在线时间
865 小时
注册时间
2017-1-24
发表于 1 小时前 来自手机 | 显示全部楼层 | 来自四川
回复

使用道具 举报

73

主题

3万

帖子

16

听众

Rank: 11Rank: 11Rank: 11

积分
77360
威望
66 点
铜板
43054 枚
西秦金币
0 个
鲜花
5 朵

在线时间
13806 小时
注册时间
2012-7-27
发表于 1 小时前 来自手机 | 显示全部楼层 | 来自四川
哎。。。。
回复

使用道具 举报

16

主题

5万

帖子

4

听众

Rank: 12Rank: 12

积分
108626
威望
16 点
铜板
56351 枚
西秦金币
0 个
鲜花
13 朵

在线时间
3816 小时
注册时间
2020-7-31
发表于 半小时前 来自手机 | 显示全部楼层 | 来自四川
回复

使用道具 举报

0

主题

2万

帖子

1

听众

Rank: 11Rank: 11Rank: 11

积分
62189
威望
0 点
铜板
31998 枚
西秦金币
0 个
鲜花
25 朵

在线时间
792 小时
注册时间
2017-7-18
发表于 半小时前 来自手机 | 显示全部楼层 | 来自山西
小心点
回复

使用道具 举报

3

主题

5万

帖子

10

听众

Rank: 12Rank: 12

积分
112853
威望
3 点
铜板
58915 枚
西秦金币
0 个
鲜花
0 朵

在线时间
5223 小时
注册时间
2013-9-24
发表于 16 分钟前 来自手机 | 显示全部楼层 | 来自四川
伤害了身体,太不值得了。
回复

使用道具 举报

0

主题

3万

帖子

3

听众

Rank: 12Rank: 12

积分
83842
威望
0 点
铜板
43584 枚
西秦金币
0 个
鲜花
45 朵

在线时间
2068 小时
注册时间
2020-12-20
发表于 13 分钟前 来自手机 | 显示全部楼层 | 来自四川
不管做什么都要注意安全
回复

使用道具 举报

    您需要登录后才可以回帖 登录 | 立即注册

    本版积分规则

    快速回复 返回顶部 返回列表